HEMOSTATIC PELLETS
Retrax® Pellets — Deliver immediate and profound hemostasis without staining
Retrax Pellets
Retrax® Pellets —
Fluid Control Solution
Effective fluid control is critical to success in operative dentistry, crown-and-bridge procedures, subgingival restorations, and pulp therapies. Retrax® Pellets help clinicians stay focused on the procedure—not the fluid. Made from 100% cotton and infused with Epinephrine or Aluminum Sulfate. The Auto-up™ Dispenser ensures quick, easy access to every pellet.
PATIENT FRIENDLY
Forget the bad-tasting, runny, tissue-blackening solutions. Retrax® Pellets are tasteless, drip-free, and stay in place, delivering a focused hemostatic effect. Comfortable for patients — won’t run over the tongue or down the throat.
NON STAINING
Unlike ferric sulfate, Retrax® Pellets won’t stain composite or Zirconia crowns. No risk of contamination during adhesive or bioregenerative procedures. Clean, precise, and safe for modern restorative workflows.
ULTIMATE CONTROL
Put the experience of uncontrollable fluids behind you. Retrax® pellets deliver immediate and profound hemostasis in multiple situations. Normal tissue moisture will activate pellets. For faster activation, dip in water prior to application.
How to Use Retraction Pellets?
Seamless Method
Place one pellet on each side using the tweezer mechanism of the PickPack™. To insert pellets, seamlessly connect the Pick-Pack tweezer heads with a "click" and "push" the pellets subgingivally.
The Two Instrument Method
Use Pascal’s Retrax™ Tweezer to place pellets, one on each side interproximally. To "push" the pellets subgingivally, use any Pascal cord packer.
Retrax® Pellets — Precise Fluid Control, Immediate Hemostasis, Confidence.
UPGRADE WITH RETRAX PELLETS
Retrax® Pellets EPI (Epidri™)
350 yellow-coded cotton pellets with 1.9 mg epinephrine HCl each. Designed for fast bleeding control and tissue retraction. Auto-up™ dispenser. Activates with moisture or water for quicker use.
Retrax® Pellets EPI 2 (Racellet 2™)
Green-coded size #2 cotton pellets with reduced epinephrine (1.15 mg) for fast bleeding control and retraction. Moisture-activated. Supplied in an Auto-up™ self-dispensing container.
Retrax® Pellets EPI 3 (Racellet 3™)
Green-coded cotton pellets, size #3, with 0.55 mg epinephrine HCl each. Designed for fast retraction and bleeding control. Moisture-activated, with reduced epinephrine for safer use.
Retrax® Pellets AS
Orange-coded cotton pellets (Size #3) with 15% aluminum sulfate for fast bleeding control, firm tissue retraction, and collapse prevention. Moisture - activated. Auto-up™ dispenser for easy access.
"As a longtime user and Patterson-certified CEREC trainer, I trust Pascal International — their products deliver consistent results.
Retrax cords and Racellet Pellets are my No. 1 choices for tissue management."
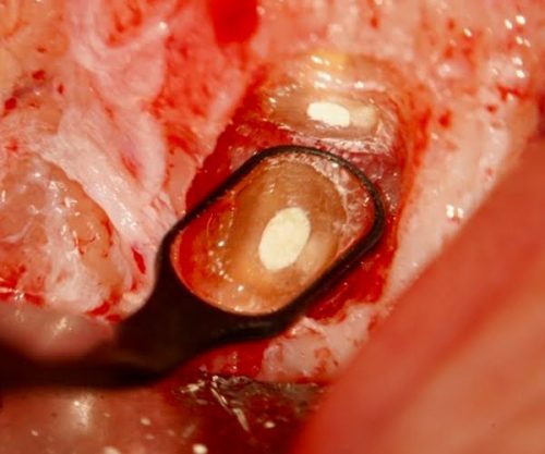
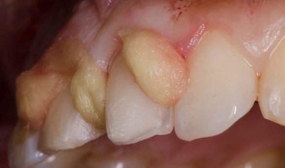
BEFORE & AFTER BLEEDING
Images by Dr. Virgillio Gutierrez DDS Cypress, TX
BEFORE
Profuse bleeding during bridge removal
AFTER
Dry field within minutes after Retrax Pellets application
Hemostatic pellets are widely used in various medical and dental procedures to effectively control bleeding. Our full range of Retrax pellets is specially designed to provide rapid and reliable hemostasis without causing blackening, unpleasant taste, staining, or contamination.
INNOVATIONS IN ENDODONTIC PRACTICE
WBA Endodontologie SSO/SSE – Swiss Certified Endodontologist, Specialist Member of the European Society of Endodontology




